대전치과 유명한곳은 이렇게 큰이빨
![]()
음식물 찌꺼기가 쉽게 끼일 수 있는 치아 사이의 틈이 있으면 구강 관리가 더 어려울 수 있습니다. 물론 미학에도 부정적인 영향을 미칩니다.
![]()
치아 사이에 틈이 있는 경우 그 정도와 위치에 따라 치료 방법이 다를 수 있습니다. 간극은 레진으로 채워지거나 라미네이션 또는 크라운과 같은 수복 치료가 수행될 수 있습니다. 치아교정 치료도 간격을 좁힐 수 있습니다. 수복치료의 경우 치료기간이 짧다는 장점이 있지만 시간이 지나면 자연치아를 발치하고 교체해야 하는 단점이 있습니다. 또한 치아의 크기가 원래보다 약간 커져 아름답지 않습니다. 반대로 교정치료는 치료기간이 상대적으로 길다는 단점이 있지만, 원래의 치아를 이용하여 틈을 메우고 정기적인 재시술이 필요하지 않기 때문에 실제 치아를 손상시키지 않고 시술할 수 있다는 장점이 있습니다. -보정. 대하다.
![]()
벌어진 치아를 가진 환자라면 어떤 치료 방법이 더 적합할까요?
![]()
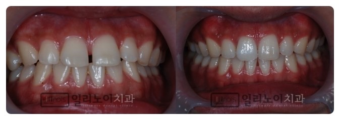
결론은 먼저 환자의 상태에 따라 다를 수 있는 대전의 유명치과의원에서는 빠진 치아의 개수가 적고 심하지 않은 경우 수복치료를 하고, 틈이 크거나 큰 경우 교정치료를 시행한다. 이. 간격을 좁히는 방법을 권장합니다.

여러 개의 치아개방으로 인한 교정치료의 경우 이 경우 치아 사이의 간격이 커서 앞니뿐만 아니라 치아 사이 전체의 간격이 벌어지게 됩니다. 이 분의 경우 교정치료가 수복치료보다 훨씬 효과적인 치료법이었습니다. 교정치료를 하기로 결정했다면 다음 단계는 벌어진 틈의 원인을 파악하는 것입니다. 치아 사이가 벌어지는 원인에는 여러 가지가 있는데 대표적인 예로는 치주질환, 피개교합, 피개교합, 교합 크기의 부조화 등이 있습니다. 치료를 통해 원인을 제거해야만 재발을 막을 수 있기 때문입니다. 이를 위해서는 정확한 진단 과정이 필요합니다. 대전치과의원 명소는 치아배열 뿐만 아니라 환자의 골격과 치조골 상태를 3차원적으로 분석하여 원인을 규명하고 개개인의 특성에 따른 개별적인 치료 치료계획 단계를 진행합니다. 우리는 계획을 세우고 있습니다. 성공적인 교정치료를 위해서는 얼라이너를 제거할 때 뿐만 아니라 장기적인 결과가 필요하기 때문입니다. 이것은 치열 교정 후 상황이며 간격이 아주 잘 닫힙니다. 대전치과의원 매력 비교 모든 진료가 다 그렇지만 특히 교정치료는 같은 환자가 진단을 받아도 의사마다 경험과 전문성에 따라 치료방법이 달라지는 분야입니다. 그럼에도 불구하고 치료를 시작하실 때는 풍부한 임상 경험을 가진 의료진이 진료를 해주시는 대전의 유명한 치과를 선택하셔야 합니다. 이를 위해서는 다음 섹션을 주의 깊게 비교할 필요가 있습니다. 연세고운스마일은 연세대학교 치과병원에서 정식 수련을 받은 교정과 전문의와 대표원장이 진료하고 있습니다. 첫 번째. 교정전문의는 전체 치과의사 중 1~2% 정도에 불과하며, 이러한 전문의는 대학병원 등 분야에서 전문교육을 받고 보건복지부 고시를 통과한 의사에게만 수여된다. 교정치료에 대한 집중적인 수련을 받았고 많은 임상시험을 거쳐왔기 때문에 아마도 더 믿을만 할 것입니다. 둘째, 원장님을 대신하여 교정치료를 직접 진행하는 곳인가요? 치료의 특성상 초기에 진단과 계획을 수립한 의사가 끝까지 주치의 역할을 하는 것이 좋습니다. 급여는 필연적으로 떨어질 것입니다. 유명한 대전치과의원에서는 대표 원장님이 모든 교정치료를 유급의사 없이 진행하고 있어 의료진 교체 없이 안전하게 진료를 받으실 수 있습니다. 제삼. 정확한 진단 과정에서 환자에게 가장 적합한 치료 계획을 세울 수 있습니다. 연세고운스마일은 치아의 배열뿐만 아니라 균형 잡힌 입술 라인과 얼굴 특징의 변화까지 고려한 심미적 치료 계획을 제시하는 디지털 진단 시스템으로 구축되고 있습니다. 네번째. 비용이 많이 드는 치료이기 때문에 부담을 느끼시는 분들이 많습니다. 유명한 대전치과에서는 다양한 미용기기를 합리적인 가격으로 준비하고 있습니다. 특히 첫 달부터 치료가 끝날 때까지 치료비 전액을 분할납부하는 제도로 비용을 걱정하며 치료기간을 미루는 일이 없도록 돕고 있습니다. 연세고운스마일은 숙련된 의료진과 체계적인 진료과정, 세심한 사후관리를 통해 다양한 부정교합 증상을 가진 환자들의 밝고 환한 미소를 만들어 드리고 있습니다. 갤러리아 백화점 맞은편에 위치해 평일 바쁜 현대인들을 위한 나이트 케어도 제공한다.궁금하신 사항은 www.misodj.com 으로 편하게 문의주세요 대전 연세궁미소치과 대전, 연세궁미소치과의원, 연세궁미소치과의원, 교정과, 교정전문의, 무발치, 돌출교정, 맑은치과 연세대학교 의료진 www .misodj.com 대전광역시 서구 대덕대로 203 연세고운미소치과 5층