안녕하세요~ 굿빠빠 수의사입니다.오늘부터 정말 춥다고 느끼네요~ 따뜻한 커피한잔과 함께~ 행복한 하루 되세요~^^*
![]()
오늘 포스팅은 강아지가 갑자기 뒷다리에 힘이 안들어가요.반려견이 걷는 게 이상해요라는 주제로 시작할게요.
![]()
개 뒷다리 통증은 개의 고관절 이상견의 슬개골 탈구견 근육 손상 등의 다양한 이유가 있습니다.
![]()
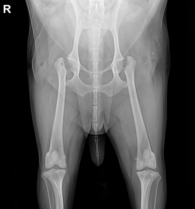
그렇기 때문에 정확한 평가를 위해 강아지 방사선 촬영이 매우 중요합니다.
![]()
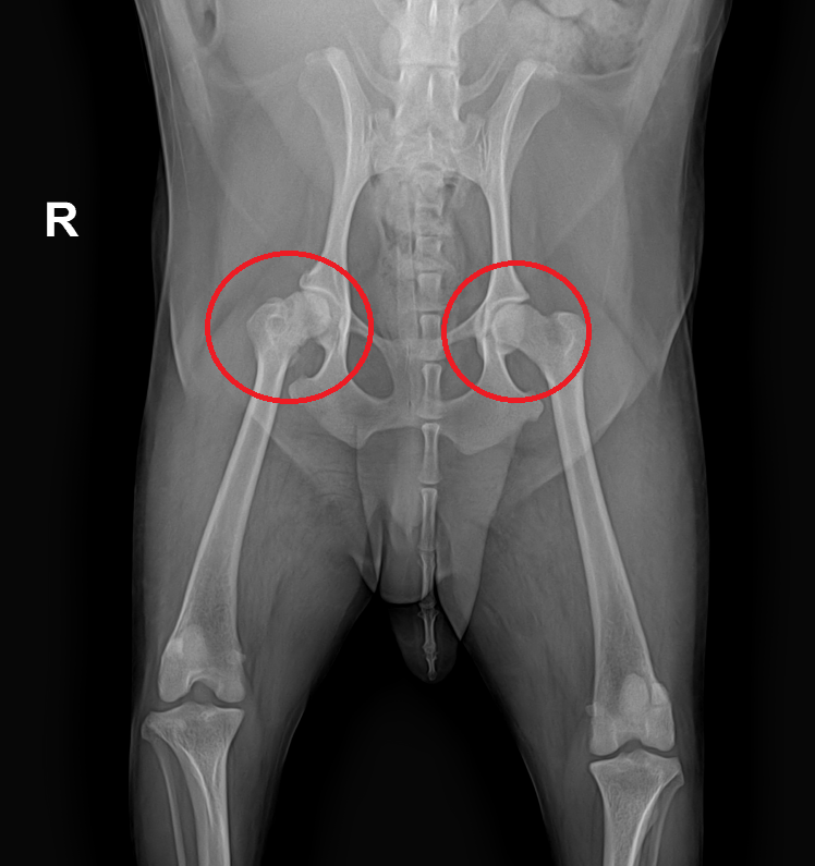
오늘 소개해드릴 아이는 동그라미에 표시된 엉덩이 관절, 즉 고관절 퇴행성 관절염 때문에 아이가 많이 아파했습니다.

학부모님과 상의 후 아이는 양쪽 고관절 수술을 시행하기로 하였습니다.

골두 염증 때문에 사람들이 인공관절을 하는 경우가 많은데 동물들의 경우 여러 가지 이유로 루틴하게 시술하지 않는다고 합니다.위 사진처럼 대퇴골 머리를 제거함으로써 마찰을 줄여 통증을 없애주는 것입니다.

골두 염증 때문에 사람들이 인공관절을 하는 경우가 많은데 동물들의 경우 여러 가지 이유로 루틴하게 시술하지 않는다고 합니다.위 사진처럼 대퇴골 머리를 제거함으로써 마찰을 줄여 통증을 없애주는 것입니다.

강아지 수술 전후 방사선을 비교하면 이렇게 깔끔하게 수술을 마쳤습니다.앞으로 재활 열심히 하고~ 잘 걸어 다닐 수 있게 해야 해요.이렇게 수술하는 비용은 강아지 몸무게에 따라 가격이 달라집니다.그리고 입원 기간이나 레이저 치료 등 다양한 수술 후의 처치 내용에 따라서도 같은 수술이지만 비용은 달라집니다.굿아빠24시 반려동물건강검진센터 서울특별시 동작구 사당로 289